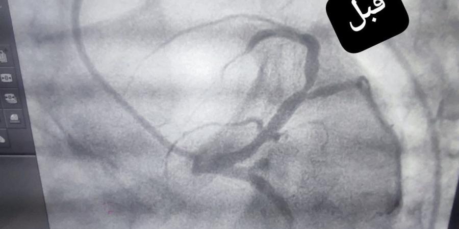
نجح الفريق الطبي بوحدة القسطرة القلبية بمستشفى قنا العام، فحالةى التعامل مع حالة حرجة لفتاة في مقتبل العمر، حيث أظهرت الفحوصات ورسم القلب إصابتها بجلطة حادة مع انسداد كامل في الشريان التاجي الأمامي الرئيسي، وهو ما استدعى التدخل الفوري لإنقاذ حياتها.
وعلى الفور، باشر فريق الإنعاش التعامل مع الحالة، وتمكن من إعادة النبض بنجاح، لتُجرى بعدها قسطرة قلبية علاجية عاجلة، أسفرت عن فتح الانسداد في الشريان التاجي الأمامي الرئيسي بنجاح تام.
وأسفر التدخل السريع عن تحسن ملحوظ في وظائف القلب، واستقرار الحالة الصحية للمريضة، التي غادرت المستشفى بعد أيام قليلة في حالة جيدة.
وجاء ذلك تحت قيادة الأستاذ الدكتور أحمد الزقيم، استشاري القلب ورئيس قسم القلب، والذي أشرف على الحالة منذ دخولها وحتى تماثلها للشفاء.
وضم الفريق الطبي كلًا من الدكتور أحمد عبدالباقي، الدكتور مخلص صبحي، والدكتور محمد عبدالماجد، والدكتور محمد بس، والدكتور وائل فوزي، والدكتور وليد صلاح الدين، والدكتور لمياء فتحي، والدكتور محمود سند، والدكتور معاذ محمد، إلى جانب فريق التمريض والفنيين.
ويعكس هذا النجاح كفاءة الفرق الطبية والتكامل بين مختلف التخصصات، بما يسهم في تقديم خدمة طبية متميزة والتعامل الفوري مع الحالات الحرجة تحت إدارة واعية تسعى دائمًا للارتقاء بمستوى الخدمة الطبية.
أكد الدكتور محمد الديب، مدير مستشفى قنا العام، أن ما تحقق داخل وحدة القسطرة القلبية يُعد نموذجًا مشرفًا لكفاءة الفرق الطبية وقدرتها على التعامل مع أدق وأخطر الحالات في توقيتات حرجة، مشيرًا إلى أن سرعة التشخيص والتدخل الفوري كان لهما الدور الحاسم في إنقاذ حياة المريضة.
وأضاف أن المستشفى لا تدخر جهدًا في دعم جميع الأقسام الطبية، وخاصة الأقسام الحيوية مثل القسطرة القلبية، من خلال توفير الإمكانيات اللازمة ورفع كفاءة الأطقم الطبية بشكل مستمر، بما يضمن تقديم خدمة طبية متميزة وآمنة للمواطنين.
وأوضح أن هذا النجاح يعكس روح العمل الجماعي والتكامل بين جميع أفراد المنظومة الطبية، موجّهًا الشكر والتقدير لفريق العمل الذي تعامل مع الحالة باحترافية عالية حتى تماثلت المريضة للشفاء وغادرت المستشفى في حالة صحية جيدة.



















0 تعليق